Periodontal & Implant Specialists of Beverly Hills Present

THE NEW WAY TO DIAGNOSE PERIO DISEASE

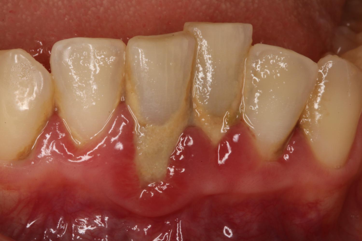
What every dentist needs to know

Dr. Ari Rosenblatt & Dr. Ziv Simon

 
TO WATCH THE LECTURE  add the information below and Click "WATCH NOW"

Learn The new way to diagnose perio disease 

We are excited to have you at our next lecture on an important subject that is relevant to your practice. Many patients are dealing with different periodontal problems and it can get quite confusing. Periodontal disease classifications have changed several times. The goal of this lecture is to help you understand the new diagnosis system so that you can better treat your periodontal patients. This will also cover you medico- legally.

You will learn to diagnose:

  • Soft tissue conditions
  • Patients with generalized bone loss
  • Chronic and more aggressive conditions
  • Patients with furcations
  • Patients with an abscess
  • Patients with systemic conditions
  • and more

PERIODONTAL & IMPLANT SPECIALISTS OF BEVERLY HILLS

Dr. Ari Rosenblatt and Dr. Ziv Simon are periodontists and implant specialists practicing in Beverly Hills. Their practice has been providing specialty care for 40 years. Both doctors are passionate about collaborating with dentists in patient care and disseminating their knowledge in the community.

THE CLASSIFICATION HAS CHANGED
We got rid of terms like "aggressive", "chronic" periodontitis and now use a staging system. It's important for you and your practice to be current for record keeping, diagnosis and communication. 

The new way is much simpler and intuitive and we are looking forward to sharing it with you.

GET THE LECTURE HANDOUTS

Sign up to get the classification cheatsheet, the lecture slides and the a PDF with the 3 steps to properly diagnose perio disease.

TO WATCH THE LECTURE  add the information below and Click "WATCH NOW"
Close

50% Complete

Two Step

Lorem ipsum dolor sit amet, consectetur adipiscing elit, sed do eiusmod tempor incididunt ut labore et dolore magna aliqua.